Terapie conservative effettuate con macchinari innovativi a Lido Di Camaiore
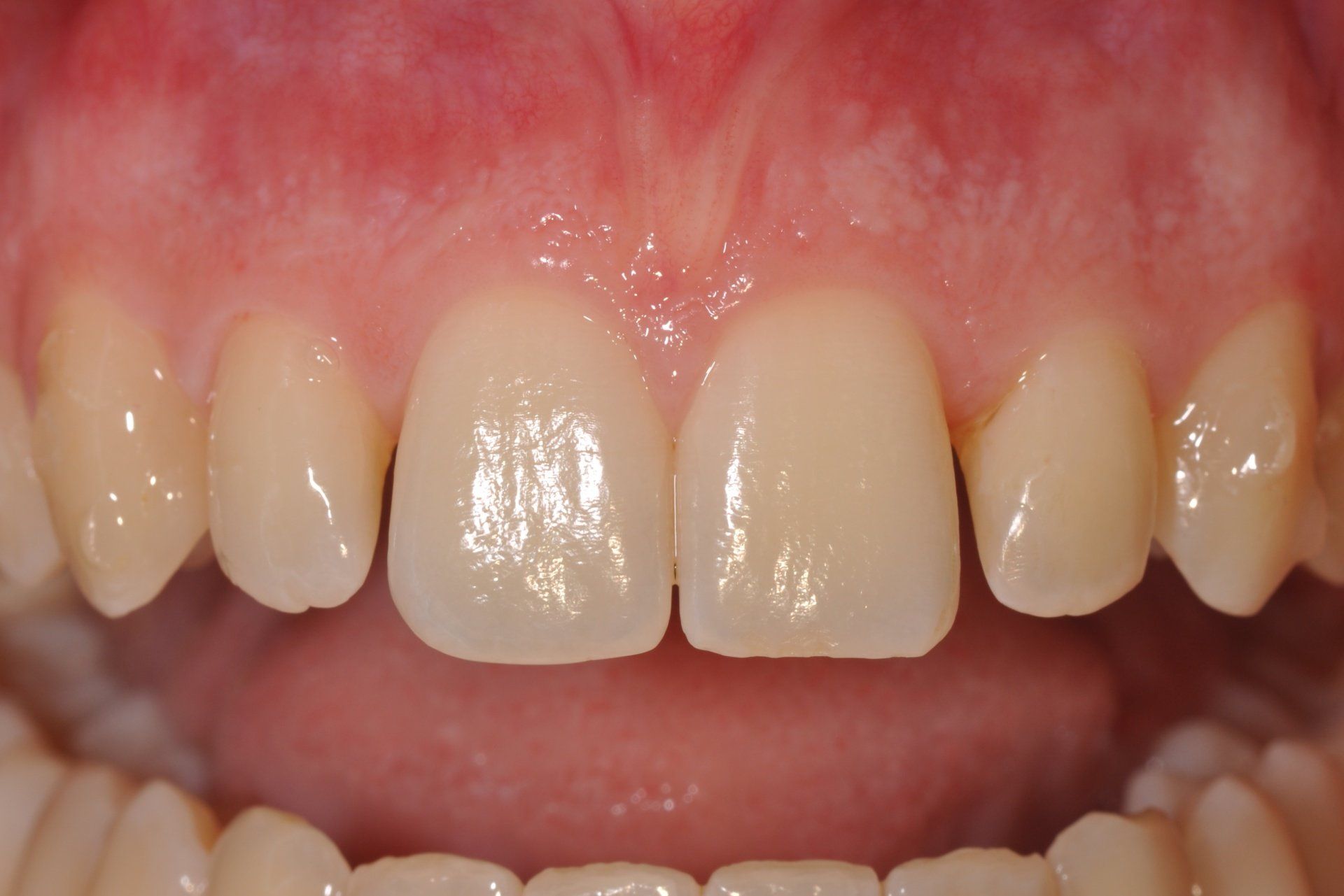
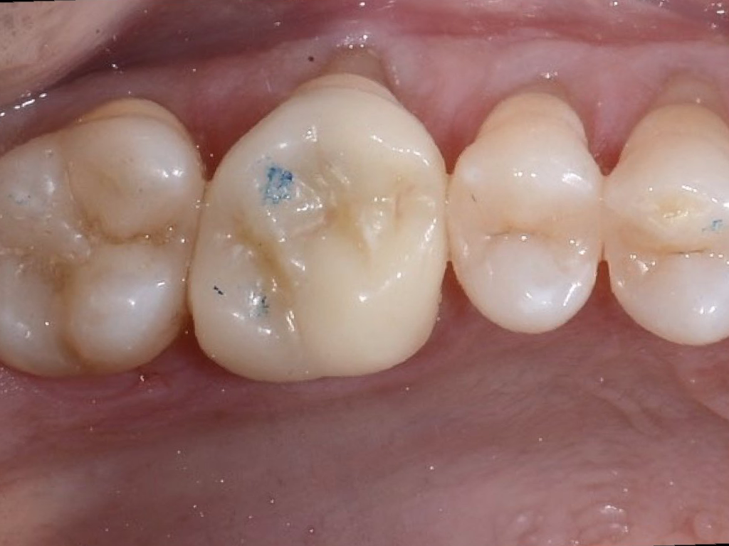
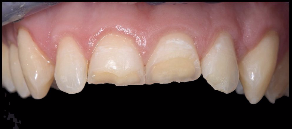
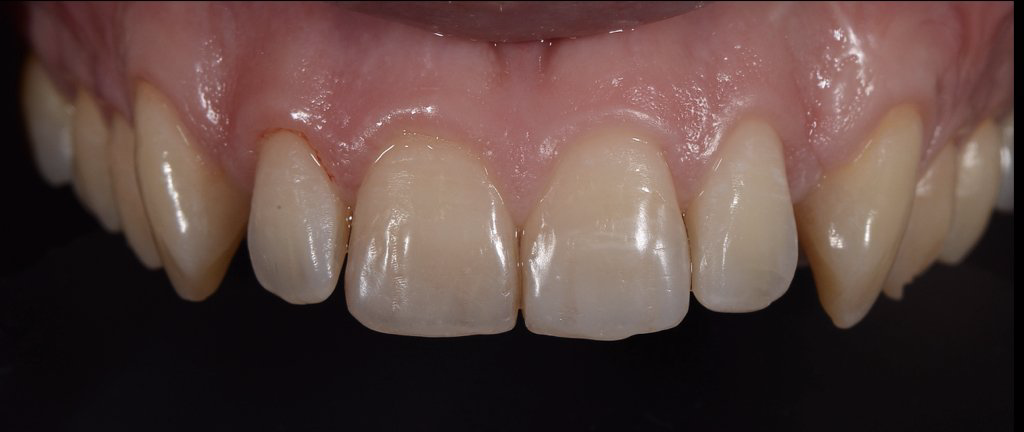
Lo Studio Dentistico Da Prato Dr. Alessandro è un riferimento, a Lido Di Camaiore e nella provincia di Lucca, anche per quanto riguarda la terapia conservativa, di cui fanno parte interventi come le otturazioni e gli intarsi. La terapia conservativa si occupa della sostituzione di parti del dente di dimensioni contenute, compromesse da carie o fratture. Per realizzarla, vengono utilizzati materiali particolarmente sofisticati, che consentono la fabbricazione del restauro direttamente nel cavo orale. Nel caso di cavità di più ampie dimensioni si ricorre a intarsi di grande precisione, che nel nostro studio vengono realizzati immediatamente grazie a una moderna macchina, e cementati il giorno stesso senza necessità di impronte o ulteriore attesa (CEREC®).









